Veneers – The Celebrity Secret to the Perfect Smile

  • A natural looking transformation
  • Results lasting up to 15 years
  • 0% Finance Available
  • Hollywood smile at the fraction of the price

    Get Porcelain Veneers? Book a FREE consultation at Ascot Dental Suite

    Whether your teeth are chipped, stained, or poorly shaped, veneers can help. Ascot Dental Suite can help with this simple solution which will completely transform your look.


    Veneers are made from super-thin slivers of composite resin or porcelain that slip over your own teeth to change the appearance. Tough, durable, and long-lasting, your veneers will look and feel just like the real thing. Some of the benefits of fitting veneers include:

    • Complete treatment for stained, misshapen, chipped or gappy teeth
    • The radical transformation that delivers a naturally beautiful smile
    • Results which last for 10-15 years without breaking

    Veneers are such an excellent option that here at Ascot Dental Suite we’ve performed them countless times. We have perfected the technique of fitting flawless veneers that will appear completely natural.

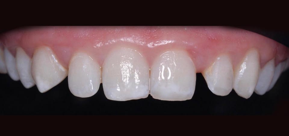
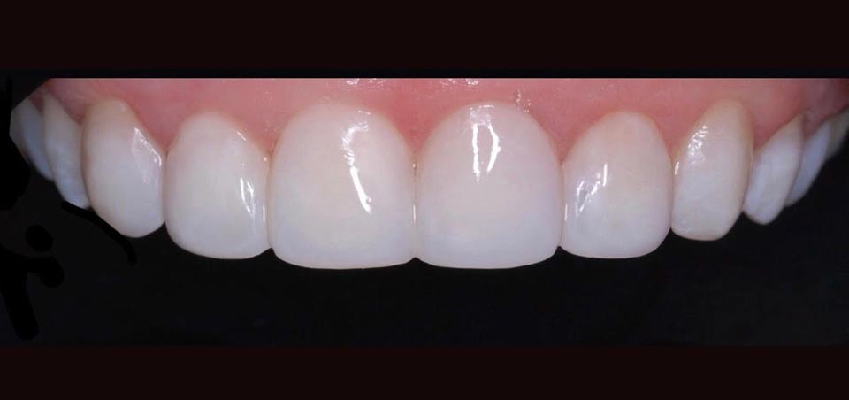
    A few of our Veneers before and afters

    Before Image After Image
    Before Image After Image
    Before Image After Image
    Before Image After Image
    Before Image After Image